搜索
网站导航
打开好大夫在线App
快速获得医生回复
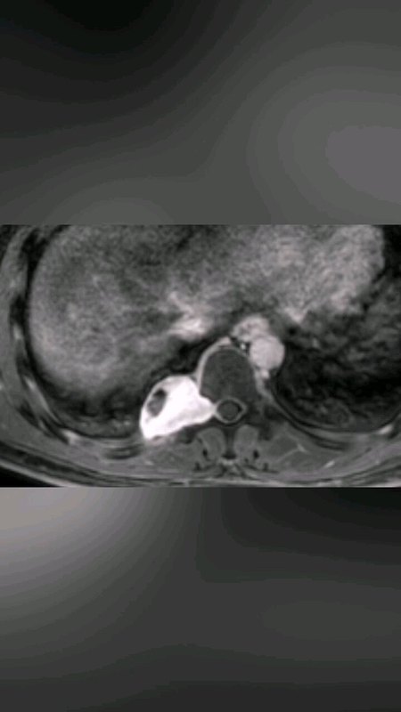
纵隔前沿|胸腔+椎管占位!骨科胸外科联手解决「哑铃型」神经源性后纵隔肿瘤!
丁建勇主任医师 复旦大学附属中山医院 胸外科
144人已读
脊髓腹侧神经鞘瘤
张继主任医师 中山大学肿瘤防治中心 神经外科
30人已读
恶性外周神经鞘膜瘤(MPNST)的放射治疗策略选择-累积剂量≥60Gy局部控制有效
曾辉主任医师 武汉市第六医院 肿瘤科
101人已读
富细胞性神经鞘瘤为什么要密切随访?
贾齐副主任医师 上海长征医院 骨科
145人已读
恶性周围神经鞘瘤发病罕见,人们认识不足,多次切除,局部复发后放疗导致肿瘤恶变
刘斌副主任医师 广西医科大学附属肿瘤医院 骨软组织外科
913人已读
【病例精解】保留神经功能囊内切除高位颅底咽旁间隙迷走神经鞘膜瘤
杨军主任医师 上海新华医院 耳鼻咽喉-头颈外科
127人已读
恶性周围神经鞘膜瘤
刘欣副主任医师 复旦大学附属肿瘤医院 肿瘤内科
739人已读
多发神经鞘瘤
张继主任医师 中山大学肿瘤防治中心 神经外科
870人已读
椎管内神经鞘瘤诊疗共识
张继主任医师 中山大学肿瘤防治中心 神经外科
184人已读
颈1-2椎管内外占位性病变:神经鞘瘤
牛建星主任医师 航空总医院 神经外科分院
159人已读
一例纵隔神经鞘瘤的故事
陆欣欣副主任医师 江苏省肿瘤医院 胸外科
330人已读
椎管内哑铃型神经鞘瘤的微创治疗
张继主任医师 中山大学肿瘤防治中心 神经外科
228人已读
腰椎神经鞘瘤怎么诊断及治疗
张继主任医师 中山大学肿瘤防治中心 神经外科
332人已读
位于腰椎椎间孔的神经源性肿瘤
孙伟副主任医师 复旦大学附属中山医院 神经外科
295人已读
后组颅神经神经鞘瘤
雷德强主任医师 武汉协和医院 神经外科
170人已读
一例颈动脉鞘深方神经鞘瘤的完美切除
韩芸峰副主任医师 北医三院 神经外科
196人已读
认识恶性周围神经鞘瘤
郑水儿主任医师 上海市第六人民医院 肿瘤内科
772人已读
神经源性肿瘤是什么?好治吗?该看哪个科?(神经源性肿瘤的正确认识和规范化治疗)
戴大伟副主任医师 上海交通大学医学院附属仁济医院(东院) 神经外科
2037人已读
如何治疗神经鞘瘤?能否彻底根治?术后效果怎么样?
孙胜副主任医师 北京朝阳医院石景山院区 骨科
1363人已读
什么是神经鞘瘤?为何会得神经鞘瘤?
孙胜副主任医师 北京朝阳医院石景山院区 骨科
2677人已读