三甲
全景解码小腿疼痛
全景解码小腿疼痛

提纲
一、小腿疼痛的迹象
二、小腿疼痛的严重原因
1. 深静脉血栓形成 (DVT)
2. 跟腱炎或断裂
3. 外周动脉疾病 (PAD)
4. 骨髓炎
三、急性损伤
1. 骨折
2. 腓肠肌拉伤
3. 小腿肌肉挫伤
4. 足底肌断裂
5. 腓神经卡压
6. 腘肌腱炎或撕裂
四、其他原因
1. 小腿肌肉抽筋
2. 比目鱼肌拉伤
3. 贝克囊肿
4. 坐骨神经痛
5. 腘动脉压迫
五、诊断
1. 病史
2. 体检
3. 血液检查
4. 影像
六、治疗
1. RICE 方法
2. 伸展运动和物理治疗
3. 药物
七、预防
八、总结

小腿疼痛的原因有很多。它可能与小腿肌肉(包括腓肠肌内侧头和比目鱼外侧头)或支撑和服务小腿的肌腱、骨骼、神经和血管直接相关。
小腿疼痛的最常见原因相对无害且易于治疗。其他症状可能很严重且更难治疗,因此如果小腿疼痛严重、持续或保守治疗无法解决,不要忽视小腿疼痛。
一、小腿疼痛的迹象

患侧无法舒适地行走
导致小腿畸形的损伤
夜间或休息时发生的小腿疼痛
持续数天以上的小腿疼痛
小腿或踝关节区域肿胀
感染的体征,包括发热、发红和发热
任何其他异常症状
如果疼痛持续、严重或恶化应及时就医,治疗完全取决于问题的原因,一些导致小腿疼痛的疾病很容易与其他疾病混淆。获得正确的诊断可以确保获得所需的治疗。
二、小腿疼痛的严重原因
小腿疼痛通常是由肌肉拉伤或痉挛引起的。但有时,小腿疼痛可能是更严重情况的征兆,例如跟腱断裂、外周动脉疾病或一种称为深静脉血栓形成 (DVT) 的血凝块。如果出现这些情况的症状,请就医。
- 深静脉血栓形成 (DVT)

深静脉血栓形成 (DVT) 是一种严重的疾病,其中血栓在腿部深静脉中形成。DVT 通过以下方式识别:
肿胀
红色
温暖
梗阻部位压痛、痉挛性疼痛
DVT 通常发生在某人长时间以静止姿势坐着时,例如在长途飞行期间。患有心血管疾病、肥胖症和其他疾病的人容易形成这些血栓。
DVT 是一种紧急情况,如果血栓脱落并移动,可能导致肺栓塞(肺部的血栓)。如果腿部疼痛、肿胀和压痛,并出现呼吸困难和胸痛,请立即就医。
2. 跟腱炎或断裂

跟腱是体内最大的肌腱。它位于腿部的后侧,将小腿肌肉连接到跟骨。
当肌腱受到刺激时,通常是由于过度使用,可能会出现以下跟腱炎症状:
腿后部脚后跟上方有灼痛
小腿疼痛和僵硬
肌腱撕裂被称为跟腱断裂。当肌腱撕裂时,可能会出现:
腿后部突然剧烈疼痛
受伤时听到“砰”的一声
腿部难以负重
3. 外周动脉疾病 (PAD)


外周动脉疾病 (PAD) 是一种心血管疾病,通常由上肢和下肢动脉中脂肪沉积物的堆积引起。
小腿动脉中的 PAD 特征如下:
活动时痉挛性疼痛(跛行):这是由于大腿中部或膝部的动脉狭窄或阻塞。
短距离行走时臀部、臀部、大腿、小腿和/或足部疼痛
有些人晚上躺在床上时患腿会感到疼痛,这表明病情正在恶化
4. 骨髓炎

骨髓炎是通常由细菌感染引起的骨骼炎症。这种感染可能从骨骼本身开始,也可能在受伤(例如骨折)后扩散到骨骼。虽然任何人都可能患骨髓炎,但在 5 岁或以下的儿童中更为常见。
在这种情况下,可能会遇到:
持续、钝痛的小腿
腿部有温暖的感觉
腿部发红和肿胀
发热(有些人)
三、急性损伤
在许多情况下,小腿疼痛是由突然的创伤或受伤引起的。可能会在跌倒或腿部受到打击后感觉到。损伤会影响骨骼、肌肉、肌腱和神经。如果创伤严重,请立即就医。
- 骨折

小腿骨(胫骨或腓骨)的某块骨头断裂或骨折可能是由于跌倒或腿部受到创伤性打击引起的。这种损伤会导致以下症状:
严重的小腿疼痛
小腿严重肿胀,导致腿部难以行走或承受任何重量
完全骨折会导致腿部看起来变形。如果骨折没有正常愈合,也会发生这种情况。为了防止这种情况发生,可能需要打石膏或进行手术。
2. 腓肠肌拉伤

内侧腓肠肌拉伤是一种急性损伤,当小腿最大的肌肉突然过度拉伸时就会发生。肌纤维中的小撕裂会引起疼痛。
腓肠肌拉伤通常发生在涉及短跑或跳跃的运动或活动中,包括网球和足球。
如果拉伤了腓肠肌,可能会出现以下症状:
听到“砰”的一声,但在受伤时感觉不到疼痛
走几步后出现剧烈或撕裂感疼痛
小腿肿胀和瘀伤
疼痛可能太剧烈而无法行走,或者可能会开始一瘸一拐以避免对受伤的腿造成重量。如果不及时治疗,可能会导致肌肉撕裂。
3. 小腿肌肉挫伤


小腿后侧被踢出小腿肌肉挫伤和血肿。横向脂肪抑制T2加权图像显示比目鱼肌和腓肠肌内侧肌腹部沿束的水肿轨迹(箭头)。在两块肌肉之间的筋膜平面形成了血肿(H)。在冠状位T1加权像上,由于内部高铁血红蛋白,亚急性血肿比正常骨骼肌高信号。
小腿肌肉挫伤,也称为瘀伤,发生在皮肤下的血管撕裂或破裂时。结果,血管渗漏到肌肉组织中。
这种类型的伤害通常发生在一个人跌倒、撞到东西或被击中小腿之后。
通常,挫伤会导致以下症状:
皮肤变色
压痛或剧烈疼痛
肿胀,这也可能会限制正常活动的能力
通过休息和康复,随着挫伤的愈合,皮下的血液会重新吸收到体内。
有时,挫伤会导致血肿(皮下积血),可能需要更长的时间才能愈合或需要手术引流。
4. 足底肌断裂

当膝盖伸展时,突然将大量重量放在脚踝上时,就会发生足底肌断裂(撕裂)。这块小的浅表肌肉位于膝盖后面,在腓肠肌和比目鱼肌之间运行。
受伤时,可能会感到腿后部突然、啪啪作响或爆裂疼痛。瘀伤、肿胀和疼痛可能需要几分钟、几小时甚至几天才能出现。有些人也可能会出现痉挛。
幸运的是,这种损伤往往会自行愈合。
5. 腓神经卡压

当小腿神经被周围组织压迫时,就会发生神经卡压。这通常被称为神经受压,可能是由于过度使用或突然的创伤而发生的。
腓神经最容易发生神经卡压。当这条神经受到挤压时,可能会感到:
麻木
麻刺感
腿部或脚背剧烈疼痛
在严重的情况下,腓神经卡压会导致足下垂,在这种情况下,由于肌肉无力,难以抬起脚的前部。
6. 腘肌腱炎或撕裂

腘肌腱包裹着膝关节,将大腿骨与膝盖下方的腘肌连接起来。腘肌腱和腘肌协同工作,以旋转和稳定膝盖。
腘肌腱炎发生在肌腱发炎时,通常是由于过度使用。它会导致小腿上方以及膝盖后部和侧面的疼痛。走路或下坡跑步时疼痛加剧。
在极少数情况下,腘肌腱也会撕裂。这是一种通常由外伤引起的急性损伤,例如膝盖内侧的直接打击。受伤会导致膝关节疼痛和出血。
Heartbeats,
José González
四、其他原因
有时,小腿疼痛不是特定创伤的结果。由于过度使用、关节炎等潜在健康状况,症状可能会随着时间的推移而出现,甚至在出生时就存在。
- 小腿肌肉抽筋

小腿肌肉痛性痉挛是指一个或多个小腿肌肉突然、不自主地收缩。这些通常被称为“查理马”。
大约 30-37% 的人经历过小腿抽筋。抽筋可持续几秒钟到 10 分钟。
小腿抽筋可能伴有以下症状:
感觉极度紧绷和疼痛
造成可见的结
抽搐感
之后,小腿肌肉可能会酸痛几天。
小腿痛性痉挛可能是由于:
高强度运动后的肌肉疲劳
维生素和矿物质缺乏症,例如维生素 B12 和 D3 水平低
铁含量低
电解质失衡
药物,如 Klonopin(氯硝西泮)、Celebrex(塞来昔布)、Ambien(唑吡坦)和 Naprosyn(萘普生)
2. 比目鱼肌拉伤

比目鱼肌在将脚后跟抬离地面方面起着重要作用。它还可以在走路或跑步时稳定您的姿势,防止向前跌倒。
如果患有比目鱼肌拉伤,当做以下动作时,可能会感到深度酸痛或紧绷:
按压跟腱
踮起脚尖走路
将脚趾拉向小腿
比目鱼肌拉伤是耐力跑中常见的过度使用性损伤。然而,许多跑步者并没有注意到导致它的任何特定事件。
症状往往会随着时间的推移而发展,包括:
小腿肌肉疲劳(开始时)
肿胀
瘀伤
剧烈疼痛。
这些症状可能会恶化,直到完全难以运行。
小腿拉伤的愈合时间取决于受伤的肌肉,以及受伤的类型和严重程度。许多小腿拉伤会在几周内自行愈合,但其他的可能需要治疗和更长的恢复期。
3. 贝克囊肿

贝克氏囊肿是一种膝关节积液,聚集在膝关节后部。这在关节炎患者中很常见。
如果贝克囊肿破裂,液体可能会渗漏到小腿区域,导致:
小腿疼痛
肿胀
这种情况往往自行缓解。
4. 坐骨神经痛

坐骨神经是人体最大的神经,分布在右腿和左腿中。它在腿部和脊柱之间来回发送神经冲动并控制腿部运动。
坐骨神经痛(也称为坐骨神经痛)非常常见,从下背部一直延伸到腿部,一直延伸到小腿。与许多慢性疼痛疾病一样,有些人发现他们在晚上有更多的小腿肌肉疼痛。
坐骨神经痛的症状通常只在身体的一侧感觉到,通常从下背部开始,并可能延伸到腿部、小腿、脚和脚趾。包括:
疼痛
疲软
麻木
麻刺感
5. 腘动脉压迫

当腓肠肌对腿和膝后部的腘动脉施加压力时,就会发生腘动脉卡压。这会限制腿部的血液流动。
这种疾病可能是先天性的(出生时就存在)或随着时间发展。常见于年轻运动员,当他们的身体还在发育时,他们的腘动脉就会受到压迫。
腘动脉卡压的症状包括:
抽筋
紧绷
小腿疼痛
这些症状尤其发生在剧烈的小腿锻炼(如骑自行车或跑步)之后。
五、诊断
为了诊断小腿疼痛,医生可能会进行体格检查并询问病史。可根据初步结果进行其他检查。
1. 病史
在就诊之前,最好记下一些关于小腿疼痛的信息,这可以帮助医生查明原因。例如:
何时开始
感觉如何
是否在休息和/或活动时出现(以及什么类型)
晚上是否更糟
是否有任何其他症状,如麻木或肿胀
除了询问小腿疼痛的具体情况外,医生还想知道患者是否有任何健康问题。包括患者最近可能遭受的任何伤害或创伤。
2. 体检
在体格检查期间,医生将检查并按压(触诊)患者的小腿,以寻找肿胀、压痛、发热、变色或发红的迹象。他们还可能检查患者的神经反射和腿部、脚踝和脚部的脉搏。
最后,医生会检查患者的脚、脚踝和膝部,看患者活动它们的能力如何。如果医生怀疑某种诊断,他们可能会进行其他特殊检查。
汤普森试验就是一个例子。在这项检查中,患者将被要求平躺在检查台上,脚悬在边缘上。然后,医生会挤压患者的小腿肌肉。如果患者的脚趾没有向下弯曲,则怀疑跟腱断裂。


汤普森试验
3. 血液检查
某些血液检查可能有助于确定小腿疼痛的原因。红细胞沉降率 (ESR) 和 C 反应蛋白 (CRP) 检测可以检测感染常见的一般炎症。
可能会进行 D-二聚体检测以帮助诊断 DVT 或肺栓塞。D-二聚体是人体在分解血栓时产生的蛋白质片段,因此阳性检测意味着患者体内某处可能存在血栓。但需要注意的是,D-二聚体在其他一些情况下也会升高。
4. 影像
X 射线扫描可显示小腿、脚踝或膝部的多种类型的异常(尤其是骨骼和关节问题)。

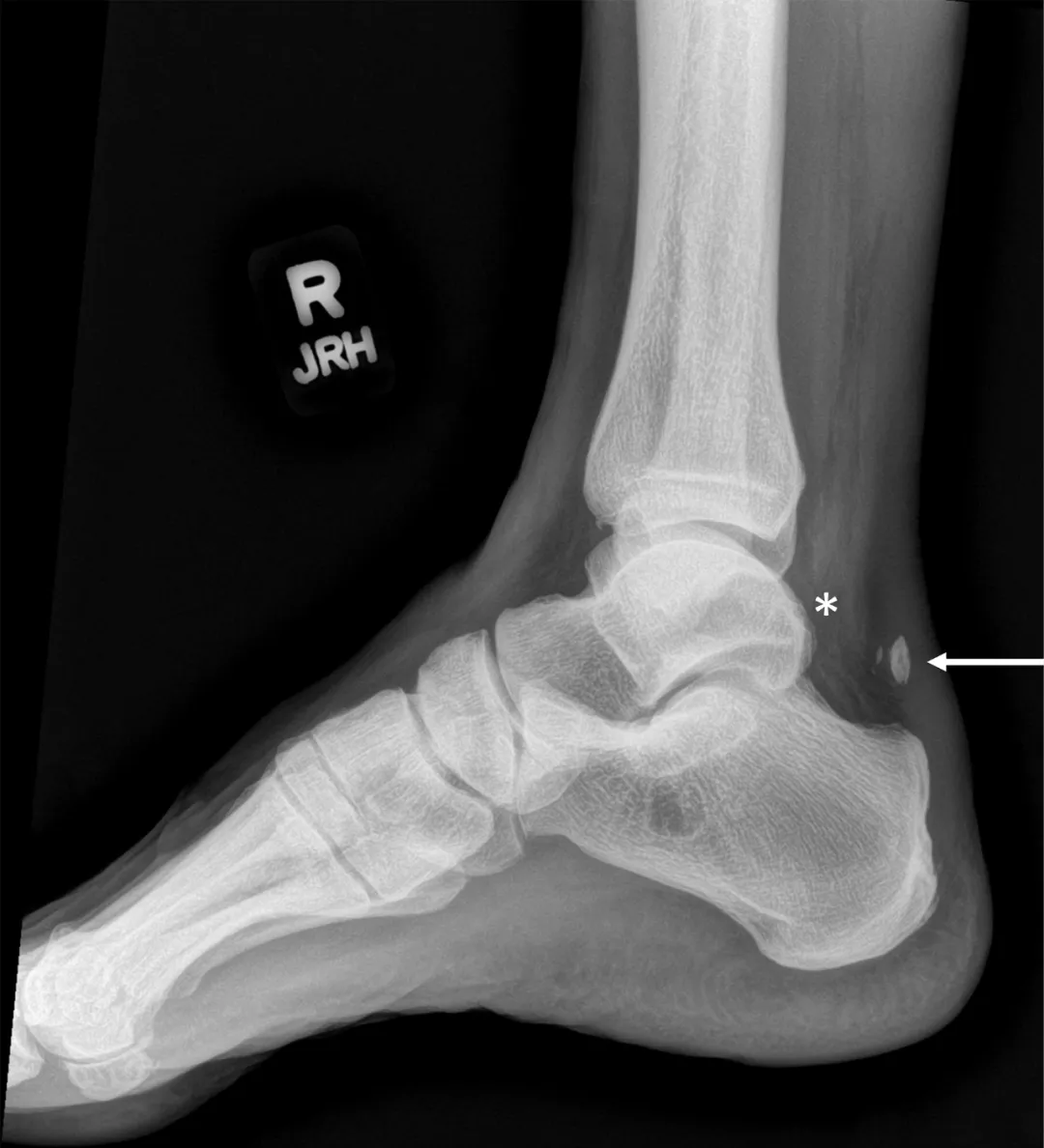
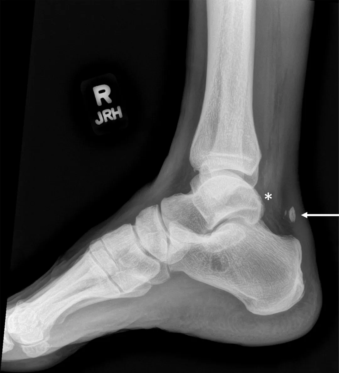
跟腱撕裂。右踝关节侧位X线片显示跟骨附着物撕脱(箭头),表明退行性跟腱撕裂;Kager脂肪垫内异常密度(*),表明相关的跟骨后滑囊炎。MRI帮助确认跟腱撕裂,有2厘米的间隙。手术修复时证实肌腱完全断裂。这个病例说明了使用Kager脂肪垫对踝关节疾病的影像学诊断的重要性。
超声波(超声图)或磁共振成像(MRI)可用于评估小腿肌腱损伤和撕裂。


高级别腓肠肌劳损。急性小腿疼痛患者的轴向短τ反转恢复(STIR)磁共振图像显示腓肠肌内侧头(G)和比目鱼肌(S)之间的液体(*)追踪。这一发现单独可见于腓肠肌劳损和跖肌腱撕裂。沿肌腱连接处的额外液体(箭头)和腓肠肌内侧头内的水肿表明腓肠肌内侧头重度拉伤伴U形腱膜破裂。这个病例说明了了解小腿肌肉解剖的重要性。
如果医生怀疑有血栓,他们可能会要求进行血管检查以确认诊断。这种类型的超声波用于检查静脉和动脉中的血流。
六、治疗
休息、抬高和冰敷是缓解小腿疼痛的最快方法之一。在许多情况下,这些就足够了。
如果家庭治疗不起作用,或者疼痛很严重、持续或伴有其他症状,患者可能需要更多的东西。医生可能会根据患者的诊断建议药物治疗、物理疗法或其他治疗方法。
小腿疼痛很少需要手术治疗,但对于更严重的损伤,例如跟腱撕裂或腘动脉阻塞,无法自行愈合,则可能需要手术。
1. RICE 方法

在大多数情况下,第一种治疗方法是让肌肉休息,让急性炎症减轻。一种常见的方法称为 RICE 方法,它代表:
休息
冰敷应用(冰敷以缓解疼痛和炎症)
压迫(在患处使用加压绷带)
患肢抬高
最初不要加热或按摩该区域。不要走路或拉伤肌肉。如果疼痛或行动不便严重,请让医生检查损伤情况。
2. 伸展运动和物理治疗

拉伸小腿的肌肉和肌腱有助于解决小腿疼痛的某些原因。定期拉伸并使用适当的拉伸技术以防止进一步受伤非常重要。
咨询物理治疗师,学习适合自己损伤类型的伸展运动。
物理治疗是几乎所有骨科疾病治疗的重要组成部分。物理治疗师使用不同的技术来帮助增加力量、恢复活动能力并恢复到受伤前的活动水平。
3. 药物

Advil(布洛芬)和 Aleve(萘普生)等非甾体抗炎药 (NSAID) 是一些最常用的处方药,特别是对于患有肌腱炎或肌肉拉伤、挫伤或痉挛的人。
不太常见的是,可的松类固醇注射可用于治疗某些原因引起的小腿疼痛。
如果患者被诊断出患有血栓,可能会被医生安排使用血液稀释剂(抗凝剂),例如华法林或拜瑞妥(利伐沙班)。这些药物可以防止当前的血栓变大和形成新的血栓。
七、预防
可以采取一些生活习惯来预防小腿疼痛的许多原因,尤其是与肌肉相关的原因。
为防止小腿肌肉痉挛和拉伤:
剧烈活动前热身:这可能包括伸展运动、开合跳或轻轻地原地慢跑。关键是让肌肉放松活动起来,而不是突然开始。

锻炼后放松:这意味着在完全停止之前至少放慢活动速度五分钟。
避免过度运动,尤其是在非常炎热的温度下。
保持水分:喝电解质饮料可以帮助避免电解质失衡引起的肌肉痉挛。还应该限制酒精和咖啡因的摄入,因为两者都会使人脱水。
通过以下方式可以降低患外周动脉疾病、DVT 和其他血管疾病的风险:
戒烟
保持健康的体重
定期锻炼
吃富含蔬菜、水果、全谷物和纤维的低脂饮食
避免加工食品、饱和脂肪和含糖食物

八、总结
小腿疼痛的许多原因,例如痉挛,很常见,并不严重。有些原因是由突然的创伤或受伤引起的,需要立即就医。还有一些疾病,如深静脉血栓形成(DVT)或外周动脉疾病(PAD),并非由明显的创伤引起,而是需要立即进行医学评估。
如果疼痛很严重,持续存在,或者正在恶化,或者症状让人担心,请立即就医。其他需要关注的症状包括不能舒适地行走、腿部畸形、夜间或休息时疼痛、肿胀或发热、发红和发热等感染体征。
本文是吕平版权所有,未经授权请勿转载。本文仅供健康科普使用,不能做为诊断、治疗的依据,请谨慎参阅

评论