三甲
刘东光
主任医师
济宁市第一人民医院
妇科
子宫内膜癌并非没有预警!
73人已读
患者57岁,体重75千克,身高157厘米,血压147/100mmHg,绝经3年,阴道流血水样分泌物3个月,淋漓不尽,自服抗生素治疗无效就医。当地医院行妇科彩超检查发现子宫内膜厚约13毫米,宫内节育器位置正常,给予取环+诊断性刮宫,术后病理组织学检查报告提示:低分化癌,建议免疫组化标记明确类型。随就诊我院。
患者25岁结婚,育有一子,否认糖尿病史。
辅助检查:
肿瘤标记物检验:

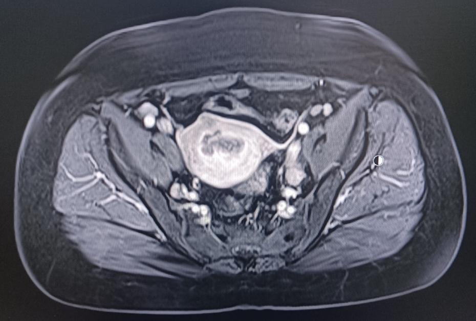
MRI:





CT检查:

术前诊断:子宫内膜癌(低分化)
2025-6-13行腹腔镜下次广泛子宫切除术+双侧附件切除术+盆腔淋巴结切除术+腹主动脉旁淋巴结切除术。
术后病理:


术后诊断:子宫内膜样低分化腺癌(IIIC1)(微卫星稳定型)
术后处理建议:补充放化疗。
该患者存在明显预警信号:
1.绝经后异常子宫出血,应及时就医检查。因为,低分化腺癌,进展较快,有异常子宫出血时,就有可能处于进展期了。
2.绝经后出血前,一定会有一个分泌物增多期,或下腹部坠胀痛期(往往是宫颈管狭窄导致分泌物流出不畅引起的不适)。只是病人多半无觉察,而错过。
3.绝经后宫腔积液、子宫内膜增厚(尤其是不均匀、有血流信号者),不应忽视。进一步检查明确诊断,排除恶性病变是必要的!
总之,绝经后不是万事大吉了,绝经后潜在的妇科肿瘤风险还是不小的。尤其是有肥胖、高血压、糖尿病史者,更应提高警惕。
本文是刘东光版权所有,未经授权请勿转载。本文仅供健康科普使用,不能做为诊断、治疗的依据,请谨慎参阅

评论